|
Background: |
The globular WW domain is composed of 38 to 40 semiconserved amino acids shared by proteins of diverse functions including structural, regulatory, and signaling proteins. The domain is involved in mediating protein-protein interactions through the binding of polyproline ligands. This gene encodes a WW domain binding protein. This gene also encodes a domain with similarity to the transcription elongation factor A, SII-related family. Alternative splicing results in multiple transcript variants encoding a single isoform. |
|
Applications: |
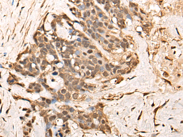
ELISA, IHC |
|
Name of antibody: |
TCEAL9 |
|
Immunogen: |
Full length fusion protein |
|
Full name: |
transcription elongation factor A like 9 |
|
Synonyms: |
WBP5; WEX6 |
|
SwissProt: |
Q9UHQ7 |
|
ELISA Recommended dilution: |
5000-10000 |
|
IHC positive control: |
Human thyroid cancer and human prostate cancer |
|
IHC Recommend dilution: |
25-100 |

購物車
幫助
021-54845833/15800441009
