|
Background: |
This gene encodes a small, monomeric, predominantly unstructured protein that functions as a positive regulator of the Wnt/beta-catenin signaling pathway. This protein interacts with a repressor of beta-catenin mediated transcription at nuclear speckles. It is thought to competitively block interactions of the repressor with beta-catenin, resulting in up-regulation of beta-catenin target genes. The encoded protein may also play a role in the NF-kappaB and ERK1/2 signaling pathways. Expression of this gene may play a role in the proliferation of several types of cancer including thyroid cancer, breast cancer and hematological malignancies. [provided by RefSeq, Nov 2011] |
|
Applications: |
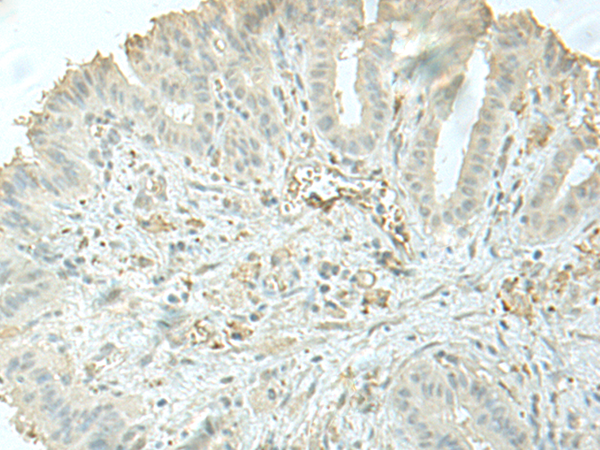
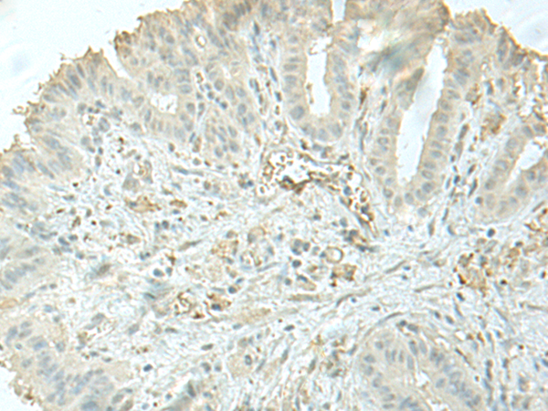
ELISA, IHC |
|
Name of antibody: |
TCIM |
|
Immunogen: |
Fusion protein of human TCIM |
|
Full name: |
transcriptional and immune response regulator |
|
Synonyms: |
TC1; TC-1; C8orf4 |
|
SwissProt: |
Q9NR00 |
|
IHC positive control: |
Human gastric cancer and Human thyroid cancer |
|
IHC Recommend dilution: |
40-200 |

購物車
幫助
021-54845833/15800441009
