|
Background: |
Acts as component of the THO subcomplex of the TREX complex which is thought to couple mRNA transcription, processing and nuclear export, and which specifically associates with spliced mRNA and not with unspliced pre-mRNA. TREX is recruited to spliced mRNAs by a transcription-independent mechanism, binds to mRNA upstream of the exon-junction complex (EJC) and is recruited in a splicing- and cap-dependent manner to a region near the 5' end of the mRNA where it functions in mRNA export to the cytoplasm via the TAP/NFX1 pathway. The TREX complex is essential for the export of Kaposi's sarcoma-associated herpesvirus (KSHV) intronless mRNAs and infectious virus production. Plays a role in apoptosis negative control involved in brain development. |
|
Applications: |
ELISA, IHC |
|
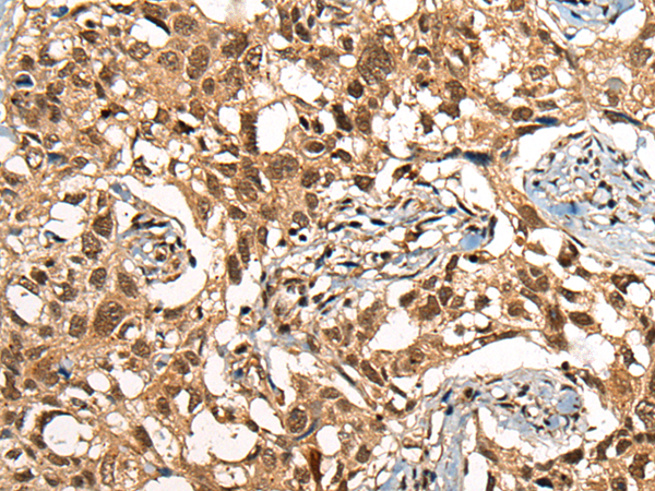
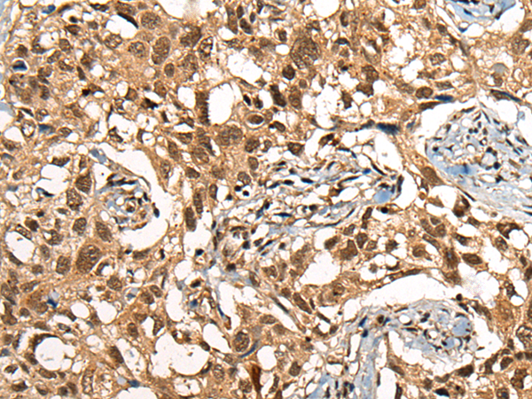
Name of antibody: |
THOC6 |
|
Immunogen: |
Synthetic peptide of human THOC6 |
|
Full name: |
THO complex 6 |
|
Synonyms: |
BBIS; WDR58; fSAP35 |
|
SwissProt: |
Q86W42 |
|
ELISA Recommended dilution: |
5000-10000 |
|
IHC positive control: |
Human cervical cancer |
|
IHC Recommend dilution: |
25-100 |
購物車
幫助
021-54845833/15800441009
