|
Background: |
The protein encoded by this gene is a member of the Toll-like receptor (TLR) family which plays a fundamental role in pathogen recognition and activation of innate immunity. TLRs are highly conserved from Drosophila to humans and share structural and functional similarities. They recognize pathogen-associated molecular patterns (PAMPs) that are expressed on infectious agents, and mediate the production of cytokines necessary for the development of effective immunity. The various TLRs exhibit different patterns of expression. This gene is predominantly expressed in lung, placenta, and spleen, and lies in close proximity to another family member, TLR8, on chromosome X. |
|
Applications: |
ELISA, IHC |
|
Name of antibody: |
TLR7 |
|
Immunogen: |
Fusion protein of human TLR7 |
|
Full name: |
Toll-like receptor 7 |
|
Synonyms: |
TLR7-like |
|
SwissProt: |
Q9NYK1 |
|
ELISA Recommended dilution: |
500-5000 |
|
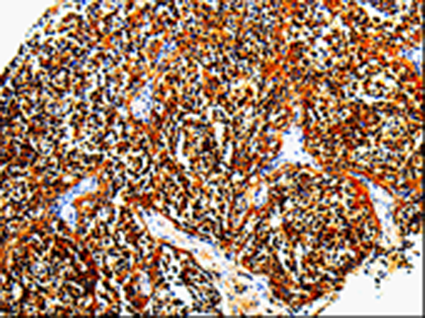
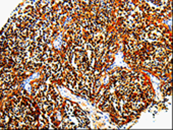
IHC positive control: |
Human tonsil |
|
IHC Recommend dilution: |
10-50 |
購物車
幫助
021-54845833/15800441009
