中文名稱:兔抗APOBEC3D多克隆抗體
|
Background: |
This gene is a member of the cytidine deaminase gene family. It is one of a group of related genes found in a cluster, thought to result from gene duplication, on chromosome 22. Members of the cluster encode proteins that are structurally and functionally related to the C to U RNA-editing cytidine deaminase APOBEC1 and inhibit retroviruses, such as HIV, by deaminating cytosine residues in nascent retroviral cDNA. |
|
Applications: |
ELISA, WB, IHC |
|
Name of antibody: |
APOBEC3D |
|
Immunogen: |
Synthetic peptide of human APOBEC3D |
|
Full name: |
apolipoprotein B mRNA editing enzyme, catalytic polypeptide-like 3D |
|
Synonyms: |
A3D; ARP6; APOBEC3E; APOBEC3DE |
|
SwissProt: |
Q96AK3 |
|
ELISA Recommended dilution: |
2000-5000 |
|
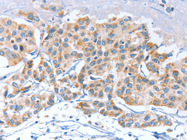
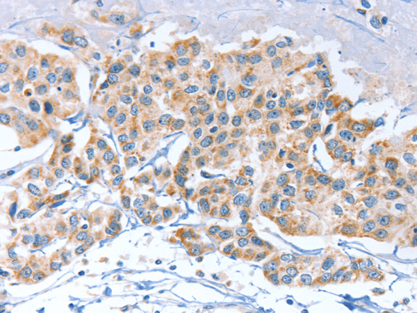
IHC positive control: |
Human breast cancer and Human esophagus cancer |
|
IHC Recommend dilution: |
50-200 |
|
WB Predicted band size: |
47 kDa |
|
WB Positive control: |
231,HEPG2 and Jurkat cell lysates |
|
WB Recommended dilution: |
500-2000 |
購物車
幫助
021-54845833/15800441009
