|
Background: |
The protein encoded by this gene is a membrane protein involved in the regulation of planar cell polarity, especially in the stereociliary bundles of the cochlea. The encoded protein transmits directional signals to individual cells or groups of cells in epithelial sheets. This protein is also involved in the development of the neural plate. |
|
Applications: |
ELISA, WB, IHC |
|
Name of antibody: |
VANGL2 |
|
Immunogen: |
Synthetic peptide of human VANGL2 |
|
Full name: |
VANGL planar cell polarity protein 2 |
|
Synonyms: |
LPP1; LTAP; STB1; STBM; STBM1 |
|
SwissProt: |
Q9ULK5 |
|
ELISA Recommended dilution: |
1000-2000 |
|
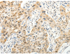
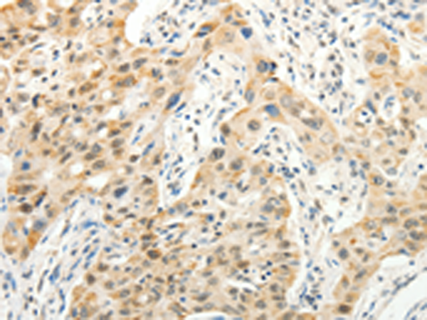
IHC positive control: |
Human lung cancer |
|
IHC Recommend dilution: |
15-50 |
|
WB Predicted band size: |
60 kDa |
|
WB Positive control: |
NIH/3T3 cells |
|
WB Recommended dilution: |
200-1000 |

購物車
幫助
021-54845833/15800441009
