|
Background: |
Vasohibin-1 is a protein that in humans is encoded by the VASH1 gene. Angiogenesis inhibitor. Inhibits migration, proliferation and network formation by endothelial cells as well as angiogenesis. This inhibitory effect is selective to endothelial cells as it does not affect the migration of smooth muscle cells or fibroblasts. Does not affect the proliferation of cancer cells in vitro, but inhibits tumor growth and tumor angiogenesis. Acts in an autocrine manner. Inhibits artery neointimal formation and macrophage infiltration. |
|
Applications: |
ELISA, WB, IHC |
|
Name of antibody: |
VASH1 |
|
Immunogen: |
Full length fusion protein |
|
Full name: |
vasohibin 1 |
|
Synonyms: |
KIAA1036 |
|
SwissProt: |
Q7L8A9 |
|
ELISA Recommended dilution: |
1000-2000 |
|
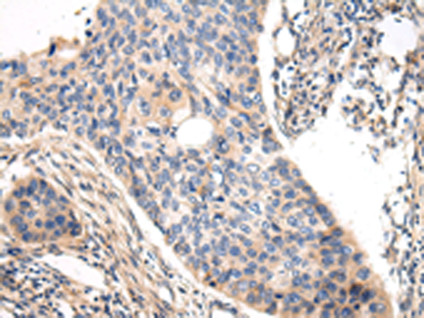
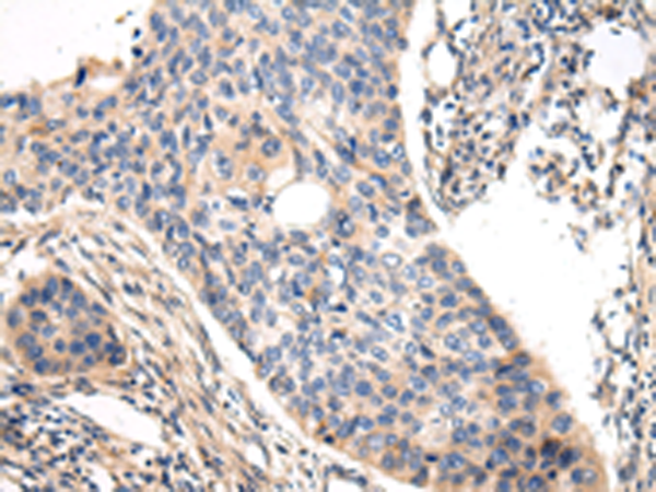
IHC positive control: |
Human liver cancer |
|
IHC Recommend dilution: |
25-100 |
|
WB Predicted band size: |
41 kDa |
|
WB Positive control: |
Mouse heart tissue |
|
WB Recommended dilution: |
200-1000 |
購(gòu)物車
幫助
021-54845833/15800441009
