|
Background: |
Ena/VASP proteins are actin-associated proteins involved in a range of processes dependent on cytoskeleton remodeling and cell polarity such as axon guidance, lamellipodial and filopodial dynamics, platelet activation and cell migration. VASP promotes actin filament elongation. It protects the barbed end of growing actin filaments against capping and increases the rate of actin polymerization in the presence of capping protein. VASP stimulates actin filament elongation by promoting the transfer of profilin-bound actin monomers onto the barbed end of growing actin filaments. Plays a role in actin-based mobility of Listeria monocytogenes in host cells. Regulates actin dynamics in platelets and plays an important role in regulating platelet aggregation. |
|
Applications: |
WB, IHC |
|
Name of antibody: |
VASP (Phospho-Ser239) |
|
Immunogen: |
Synthetic peptide of human VASP (Phospho-Ser239) |
|
Full name: |
vasodilator-stimulated phosphoprotein (Phospho-Ser239) |
|
SwissProt: |
P50552 |
|
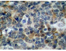
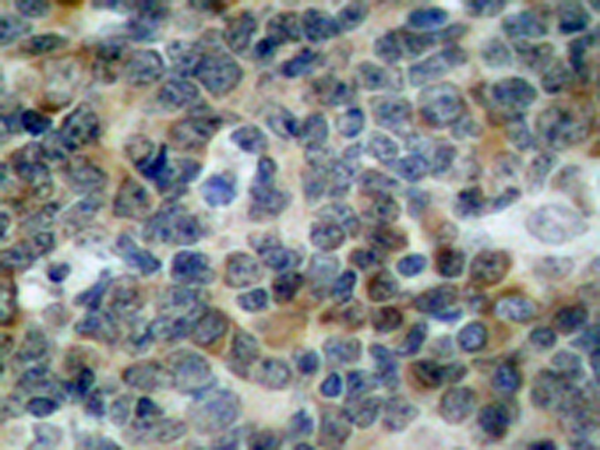
IHC positive control: |
Human tonsil carcinoma |
|
IHC Recommend dilution: |
50-100 |
|
WB Predicted band size: |
40 kDa |
|
WB Positive control: |
293 cells treated with serum and C6 cells treated with PMA |
|
WB Recommended dilution: |
500-1000 |

購物車
幫助
021-54845833/15800441009
