|
Background: |
The protein encoded by this gene is a member of a family that includes putative ATP-binding proteins involved in vesicle transport and fusion, 26S proteasome function, and assembly of peroxisomes. This protein, as a structural protein, is associated with clathrin, and heat-shock protein Hsc70, to form a complex. It has been implicated in a number of cellular events that are regulated during mitosis, including homotypic membrane fusion, spindle pole body function, and ubiquitin-dependent protein degradation. |
|
Applications: |
ELISA, WB, IHC |
|
Name of antibody: |
VCP |
|
Immunogen: |
Fusion protein of human VCP |
|
Full name: |
valosin containing protein |
|
Synonyms: |
p97; TERA; ALS14; IBMPFD; HEL-220; IBMPFD1; HEL-S-70 |
|
SwissProt: |
P55072 |
|
ELISA Recommended dilution: |
5000-10000 |
|
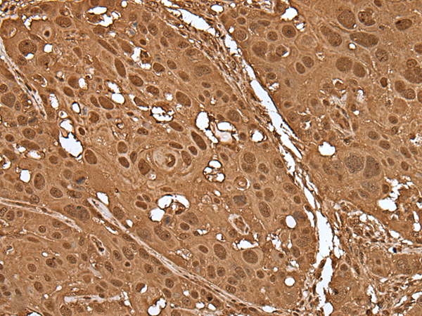
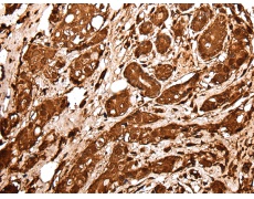
IHC positive control: |
Human prostate cancer and human tonsil |
|
IHC Recommend dilution: |
25-100 |
|
WB Predicted band size: |
89 kDa |
|
WB Positive control: |
Jurkat,HEPG2,A431,A549,Hela and 231 cell lysates |
|
WB Recommended dilution: |
500-2000 |

購物車
幫助
021-54845833/15800441009
