中文名稱:兔抗ARAP1多克隆抗體
|
Background: |
The protein encoded by this gene contains SAM, ARF-GAP, RHO-GAP, ankyrin repeat, RAS-associating, and pleckstrin homology (PH) domains. In vitro, this protein displays RHO-GAP and phosphatidylinositol (3,4,5) trisphosphate (PIP3)-dependent ARF-GAP activity. The encoded protein associates with the Golgi, and the ARF-GAP activity mediates changes in the Golgi and the formation of filopodia. It is thought to regulate the cell-specific trafficking of a receptor protein involved in apoptosis. Multiple transcript variants encoding different isoforms have been found for this gene. |
|
Applications: |
ELISA, IHC |
|
Name of antibody: |
ARAP1 |
|
Immunogen: |
Synthetic peptide of human ARAP1 |
|
Full name: |
ArfGAP with RhoGAP domain, ankyrin repeat and PH domain 1 |
|
Synonyms: |
CENTD2 |
|
SwissProt: |
Q96P48 |
|
ELISA Recommended dilution: |
2000-10000 |
|
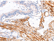
IHC positive control: |
Human colon cancer |
|
IHC Recommend dilution: |
100-300 |
購物車
幫助
021-54845833/15800441009
