中文名稱:兔抗ARC多克隆抗體
|
Background: |
Arc (for activity-regulated cytoskeleton-associated protein) is a growth factor and immediate early gene that is enriched in brain. Arc mRNA and protein levels are induced by neuronal activity, which is necessary to stimulate neuroplasticity, indicating a potential role for Arc in activity-dependent changes in dendrite function. Arc expression has been detected in neuronal cell bodies and dendrites in the hippocampus, amygdala, hypothalamus, striatum and cortex. Arc has been shown to localize to the cytoskeleton of neuronal cells and appears to colocalize with F-Actin, although it may associate with an Actin-associated protein rather than directly with F-Actin. It has been shown that cocaine-stimulated neuronal activity results in increased Arc mRNA levels in striatum. |
|
Applications: |
ELISA, WB, IHC |
|
Name of antibody: |
ARC |
|
Immunogen: |
Fusion protein of human ARC |
|
Full name: |
activity-regulated cytoskeleton-associated protein |
|
Synonyms: |
Arg3.1 |
|
SwissProt: |
Q7LC44 |
|
ELISA Recommended dilution: |
2000-5000 |
|
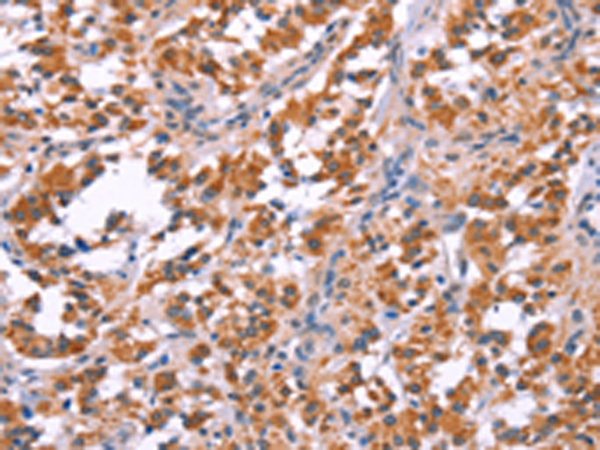
IHC positive control: |
Human thyroid cancer and Human gastric cancer |
|
IHC Recommend dilution: |
50-200 |
|
WB Predicted band size: |
45 kDa |
|
WB Positive control: |
Human lymphoma tissue |
|
WB Recommended dilution: |
200-1000 |
購物車
幫助
021-54845833/15800441009
