|
Background: |
This gene encodes a protein with sequence similarity to the yeast Vps53p protein. Vps53p is involved in retrograde vesicle trafficking in late Golgi. |
|
Applications: |
ELISA, WB, IHC |
|
Name of antibody: |
VPS53 |
|
Immunogen: |
Fusion protein of human VPS53 |
|
Full name: |
VPS53 subunit of GARP complex |
|
Synonyms: |
HCCS1; PCH2E; hVps53L; pp13624 |
|
SwissProt: |
Q5VIR6 |
|
ELISA Recommended dilution: |
1000-2000 |
|
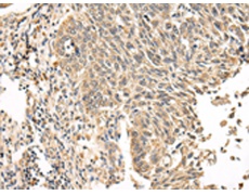
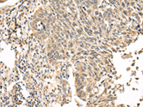
IHC positive control: |
Human lung cancer |
|
IHC Recommend dilution: |
25-100 |
|
WB Predicted band size: |
80 kDa |
|
WB Positive control: |
A172 cell |
|
WB Recommended dilution: |
200-1000 |

購物車
幫助
021-54845833/15800441009
