中文名稱:兔抗ARMC10多克隆抗體
|
Background: |
This gene encodes a protein that contains an armadillo repeat and transmembrane domain. The encoded protein decreases the transcriptional activity of the tumor suppressor protein p53 through direct interaction with the DNA-binding domain of p53, and may play a role in cell growth and survival. Upregulation of this gene may play a role in hepatocellular carcinoma. Alternatively spliced transcript variants encoding multiple isoforms have been observed for this gene, and a pseudogene of this gene is located on the long arm of chromosome 3. |
|
Applications: |
ELISA, IHC |
|
Name of antibody: |
ARMC10 |
|
Immunogen: |
Fusion protein of human ARMC10 |
|
Full name: |
armadillo repeat containing 10 |
|
Synonyms: |
SVH; PNAS112; PNAS-112; PSEC0198 |
|
SwissProt: |
Q8N2F6 |
|
ELISA Recommended dilution: |
2000-5000 |
|
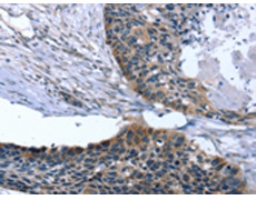
IHC positive control: |
Human esophagus cancer |
|
IHC Recommend dilution: |
20-100 |
購(gòu)物車
幫助
021-54845833/15800441009
