中文名稱:兔抗ASAH2多克隆抗體
|
Background: |
Ceramidases (EC 3.5.1.23), such as ASAH2, catalyze hydrolysis of the N-acyl linkage of ceramide, a second messenger in a variety of cellular events, to produce sphingosine. Sphingosine exerts both mitogenic and apoptosis-inducing activities, and its phosphorylated form functions as an intra- and intercellular second messenger. |
|
Applications: |
ELISA, WB, IHC |
|
Name of antibody: |
ASAH2 |
|
Immunogen: |
Fusion protein of human ASAH2 |
|
Full name: |
N-acylsphingosine amidohydrolase (non-lysosomal ceramidase) 2 |
|
Synonyms: |
HNAC1; BCDase; LCDase; NCDase; N-CDase |
|
SwissProt: |
Q9NR71 |
|
ELISA Recommended dilution: |
1000-2000 |
|
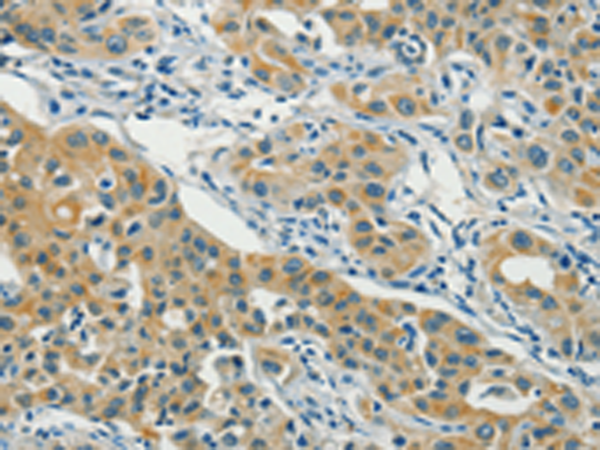
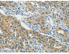
IHC positive control: |
Human lung cancer and human colon cancer |
|
IHC Recommend dilution: |
25-100 |
|
WB Predicted band size: |
86 kDa |
|
WB Positive control: |
Human fetal kidney tissue and 293T cells |
|
WB Recommended dilution: |
200-1000 |
購物車
幫助
021-54845833/15800441009
