中文名稱:兔抗ATF2 (Phospho-Ser62 or 44)多克隆抗體
|
Background: |
Transcriptional activator, probably constitutive, which binds to the cAMP-responsive element (CRE) (consensus: 5'-GTGACGT[AC][AG]-3'), a sequence present in many viral and cellular promoters. Interaction with JUN redirects JUN to bind to CRES preferentially over the 12-O-tetradecanoylphorbol-13-acetate response elements (TRES) as part of an ATF2-c-Jun complex. |
|
Applications: |
WB, IHC |
|
Name of antibody: |
ATF2 (Phospho-Ser62 or 44) |
|
Immunogen: |
Synthetic peptide of human ATF2 (Phospho-Ser62 or 44) |
|
Full name: |
activating transcription factor 2 (Phospho-Ser62 or 44) |
|
Synonyms: |
HB16; CREB2; TREB7; CRE-BP1 |
|
SwissProt: |
P15336 |
|
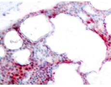
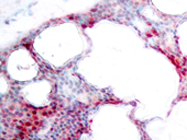
IHC positive control: |
Human breast carcinoma |
|
IHC Recommend dilution: |
50-100 |
|
WB Predicted band size: |
65-75 kDa |
|
WB Positive control: |
MDA231 cells treated with UV |
|
WB Recommended dilution: |
500-1000 |
購物車
幫助
021-54845833/15800441009
