中文名稱: 兔抗ATP5ME多克隆抗體
|
Background: |
Mitochondrial ATP synthase catalyzes ATP synthesis, utilizing an electrochemical gradient of protons across the inner membrane during oxidative phosphorylation. It is composed of two linked multi-subunit complexes: the soluble catalytic core, F1, and the membrane-spanning component, Fo, which comprises the proton channel. The F1 complex consists of 5 different subunits (alpha, beta, gamma, delta, and epsilon) assembled in a ratio of 3 alpha, 3 beta, and a single representative of the other 3. The Fo seems to have nine subunits (a, b, c, d, e, f, g, F6 and 8). This gene encodes the e subunit of the Fo complex. Alternative splicing results in multiple transcript variants.[provided by RefSeq, Jun 2010] |
|
Applications: |
ELISA, WB, IHC |
|
Name of antibody: |
ATP5ME |
|
Immunogen: |
Synthetic peptide of human ATP5ME |
|
Full name: |
ATP synthase membrane subunit e |
|
Synonyms: |
ATP5I; ATP5K |
|
SwissProt: |
P56385 |
|
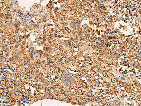
IHC positive control: |
Human cervical cancer and Human colorectal cancer |
|
IHC Recommend dilution: |
50-300 |
|
WB Predicted band size: |
8 kDa |
|
WB Positive control: |
Human heart tissue, Human fetal liver tissue, 293T cell, PC-3 cell, Human liver tissue lysates |
|
WB Recommended dilution: |
500-2000 |



購物車
幫助
021-54845833/15800441009
