中文名稱:兔抗ATRN多克隆抗體
|
Background: |
Multiple transcript variants encoding different isoforms exist for this gene. One of the isoforms is a membrane-bound protein with sequence similarity to the mouse mahogany protein, a receptor involved in controlling obesity. The other two isoforms are secreted proteins involved in the initial immune cell clustering during inflammatory responses that may regulate the chemotactic activity of chemokines. |
|
Applications: |
ELISA, IHC |
|
Name of antibody: |
ATRN |
|
Immunogen: |
Synthetic peptide of human ATRN |
|
Full name: |
attractin |
|
Synonyms: |
MGCA; DPPT-L |
|
SwissProt: |
O75882 |
|
ELISA Recommended dilution: |
1000-2000 |
|
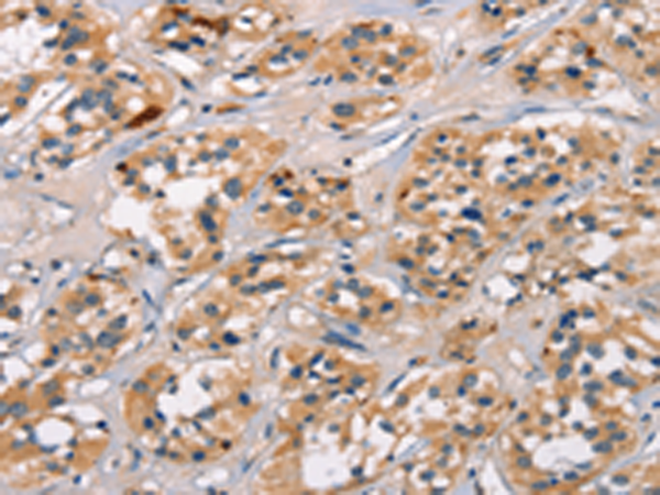
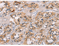
IHC positive control: |
Human thyroid cancer and Human gastric cancer |
|
IHC Recommend dilution: |
25-100 |

購物車
幫助
021-54845833/15800441009
