中文名稱:兔抗AURKC多克隆抗體
|
Background: |
This gene encodes a member of the Aurora subfamily of serine/threonine protein kinases. The encoded protein is a chromosomal passenger protein that forms complexes with Aurora-B and inner centromere proteins and may play a role in organizing microtubules in relation to centrosome/spindle function during mitosis. This gene is overexpressed in several cancer cell lines, suggesting an involvement in oncogenic signal transduction. Alternative splicing results in multiple transcript variants. |
|
Applications: |
ELISA, WB, IHC |
|
Name of antibody: |
AURKC |
|
Immunogen: |
Synthetic peptide of human AURKC |
|
Full name: |
aurora kinase C |
|
Synonyms: |
AIE2; AIK3; ARK3; AurC; SPGF5; STK13; aurora-C |
|
SwissProt: |
Q9UQB9 |
|
ELISA Recommended dilution: |
1000-2000 |
|
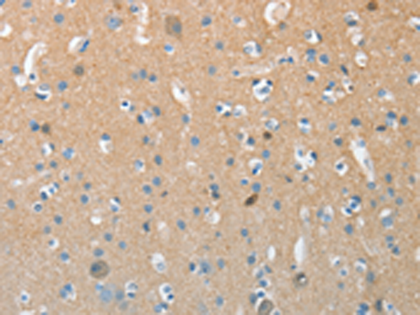
IHC positive control: |
Human brain |
|
IHC Recommend dilution: |
15-50 |
|
WB Predicted band size: |
36 kDa |
|
WB Positive control: |
Mouse testis tissue and hela cells, human liver cancer and A375 cells, 293T cells |
|
WB Recommended dilution: |
200-1000 |


購物車
幫助
021-54845833/15800441009
