中文名稱:兔抗B4GALNT1多克隆抗體
|
Background: |
GM2 and GD2 gangliosides are sialic acid-containing glycosphingolipids. GalNAc-T is the enzyme involved in the biosynthesis of G(M2) and G(D2) glycosphingolipids. GalNAc-T catalyzes the transfer of GalNAc into G(M3) and G(D3) by a beta-1,4 linkage, resulting in the synthesis of G(M2) and G(D2), respectively. Three transcript variants encoding different isoforms have been found for this gene. |
|
Applications: |
WB |
|
Name of antibody: |
B4GALNT1 |
|
Immunogen: |
Synthesized peptide derived from internal of human B4GALNT1. |
|
Full name: |
beta-1,4-N-acetyl-galactosaminyl transferase 1 |
|
Synonyms: |
GALGT; SPG26; GALNACT; GalNAc-T |
|
SwissProt: |
Q00973 |
|
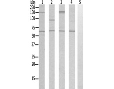
WB Predicted band size: |
59 kDa |
|
WB Positive control: |
Hela cells, K562 cells, HepG2 cells and Huvec cells lysates |
|
WB Recommended dilution: |
500-3000 |

購物車
幫助
021-54845833/15800441009
