中文名稱:兔抗BBOX1多克隆抗體
|
Background: |
This gene encodes gamma butyrobetaine hydroxylase which catalyzes the formation of L-carnitine from gamma-butyrobetaine, the last step in the L-carnitine biosynthetic pathway. Carnitine is essential for the transport of activated fatty acids across the mitochondrial membrane during mitochondrial beta-oxidation. |
|
Applications: |
ELISA, WB, IHC |
|
Name of antibody: |
BBOX1 |
|
Immunogen: |
Fusion protein of human BBOX1 |
|
Full name: |
gamma-butyrobetaine hydroxylase 1 |
|
Synonyms: |
BBH; BBOX; G-BBH; gamma-BBH |
|
SwissProt: |
O75936 |
|
ELISA Recommended dilution: |
5000-10000 |
|
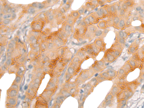
IHC positive control: |
Human thyroid cancer |
|
IHC Recommend dilution: |
40-200 |
|
WB Predicted band size: |
45 kDa |
|
WB Positive control: |
Human kidney tissue lysate |
|
WB Recommended dilution: |
500-2000 |


購物車
幫助
021-54845833/15800441009
