中文名稱:兔抗BCAS2多克隆抗體
|
Background: |
BCAS2 (breast carcinoma amplified sequence 2), also designated DAM1 (DNA amplified in mammary carcinoma 1 protein) or spliceosome-associated SPF 27, is a ubiquitously expressed nuclear protein that was originally identified as being overexpressed in various breast cancer cell lines. BCAS2 is now known to be a component of the spliceosome, participating in the removal of introns from mRNA precursors. BCAS2 specifically interacts (in a ligand-independent manner) with TR∫ (thyroid hormone receptor beta), ER (estrogen receptor alpha), ER∫, PR (progesterone receptor), and PPAR (Peroxisome proliferator-activated receptor gamma). BCAS2 functions as an ER coactivator and is capable of enhancing ER-mediated transcription. This suggests that BCAS2 is involved in the development of breast cancer. |
|
Applications: |
ELISA, WB, IHC |
|
Name of antibody: |
BCAS2 |
|
Immunogen: |
Fusion protein of human BCAS2 |
|
Full name: |
breast carcinoma amplified sequence 2 |
|
Synonyms: |
DAM1; SPF27; Snt309 |
|
SwissProt: |
O75934 |
|
ELISA Recommended dilution: |
1000-5000 |
|
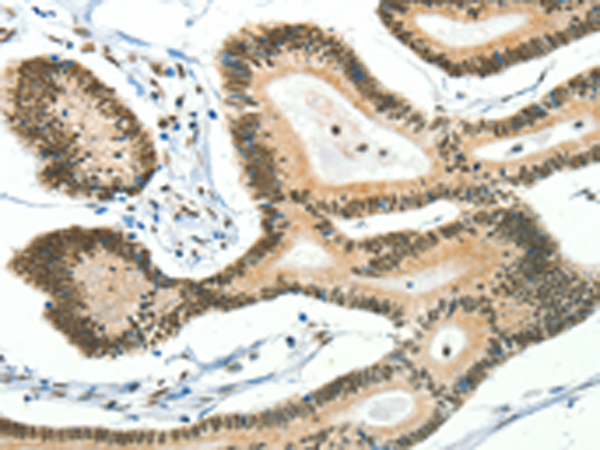
IHC positive control: |
Human colon cancer and Human lung cancer |
|
IHC Recommend dilution: |
50-200 |
|
WB Predicted band size: |
26 kDa |
|
WB Positive control: |
A172 and 231 cells |
|
WB Recommended dilution: |
200-1000 |


購物車
幫助
021-54845833/15800441009
