中文名稱:兔抗BNIP1多克隆抗體
|
Background: |
This gene is a member of the BCL2/adenovirus E1B 19 kd-interacting protein (BNIP) family. It interacts with the E1B 19 kDa protein, which protects cells from virally-induced cell death. The encoded protein also interacts with E1B 19 kDa-like sequences of BCL2, another apoptotic protector. In addition, this protein is involved in vesicle transport into the endoplasmic reticulum. Alternative splicing of this gene results in four protein products with identical N- and C-termini. |
|
Applications: |
ELISA, WB, IHC |
|
Name of antibody: |
BNIP1 |
|
Immunogen: |
Fusion protein of human BNIP1 |
|
Full name: |
BCL2/adenovirus E1B 19kDa interacting protein 1 |
|
Synonyms: |
NIP1; SEC20; TRG-8 |
|
SwissProt: |
Q12981 |
|
ELISA Recommended dilution: |
2000-5000 |
|
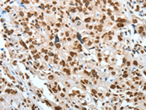
IHC positive control: |
Human esophagus cancer and human breast cancer |
|
IHC Recommend dilution: |
50-200 |
|
WB Predicted band size: |
26 kDa |
|
WB Positive control: |
A431 and A172 cells, human liver cancer tissue |
|
WB Recommended dilution: |
200-1000 |


購(gòu)物車(chē)
幫助
021-54845833/15800441009
