中文名稱(chēng):兔抗C1S多克隆抗體
|
Background: |
This gene encodes a serine protease, which is a major constituent of the human complement subcomponent C1. C1s associates with two other complement components C1r and C1q in order to yield the first component of the serum complement system. Defects in this gene are the cause of selective C1s deficiency. |
|
Applications: |
ELISA, IHC |
|
Name of antibody: |
C1S |
|
Immunogen: |
Synthetic peptide of human C1S |
|
Full name: |
complement component 1, s subcomponent |
|
SwissProt: |
P09871 |
|
ELISA Recommended dilution: |
5000-10000 |
|
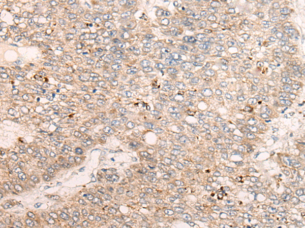
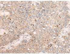
IHC positive control: |
Human liver cancer and human thyroid cancer |
|
IHC Recommend dilution: |
25-100 |


購(gòu)物車(chē)
幫助
021-54845833/15800441009
