中文名稱:兔抗CA11多克隆抗體
|
Background: |
Carbonic anhydrases (CAs) are a large family of zinc metalloenzymes that catalyze the reversible hydration of carbon dioxide. They participate in a variety of biological processes, including respiration, calcification, acid-base balance, bone resorption, and the formation of aqueous humor, cerebrospinal fluid, saliva, and gastric acid. They show extensive diversity in tissue distribution and in their subcellular localization. CA XI is likely a secreted protein, however, radical changes at active site residues completely conserved in CA isozymes with catalytic activity, make it unlikely that it has carbonic anhydrase activity. It shares properties in common with two other acatalytic CA isoforms, CA VIII and CA X. CA XI is most abundantly expressed in brain, and may play a general role in the central nervous system. |
|
Applications: |
ELISA, IHC |
|
Name of antibody: |
CA11 |
|
Immunogen: |
Fusion protein of human CA11 |
|
Full name: |
carbonic anhydrase 11 |
|
Synonyms: |
CARPX1 |
|
SwissProt: |
O75493 |
|
ELISA Recommended dilution: |
5000-10000 |
|
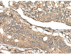
IHC positive control: |
Human gastric cancer |
|
IHC Recommend dilution: |
30-150 |

購物車
幫助
021-54845833/15800441009
