中文名稱:兔抗ZBTB20多克隆抗體
|
Background: |
This gene, which was initially designated as dendritic cell-derived BTB/POZ zinc finger (DPZF), belongs to a family of transcription factors with an N-terminal BTB/POZ domain and a C-terminal DNA-bindng zinc finger domain. The BTB/POZ domain is a hydrophobic region of approximately 120 aa which mediates association with other BTB/POZ domain-containing proteins. This gene acts as a transcriptional repressor and plays a role in many processes including neurogenesis, glucose homeostasis, and postnatal growth. Mutations in this gene have been associated with Primrose syndrome as well as the 3q13.31 microdeletion syndrome. Alternative splicing results in multiple transcript variants encoding distinct isoforms. |
|
Applications: |
ELISA, IHC |
|
Name of antibody: |
ZBTB20 |
|
Immunogen: |
Fusion protein of human ZBTB20 |
|
Full name: |
zinc finger and BTB domain containing 20 |
|
Synonyms: |
HOF; DPZF; PRIMS; ODA-8S; ZNF288 |
|
SwissProt: |
Q9HC78 |
|
ELISA Recommended dilution: |
5000-10000 |
|
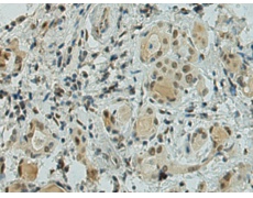
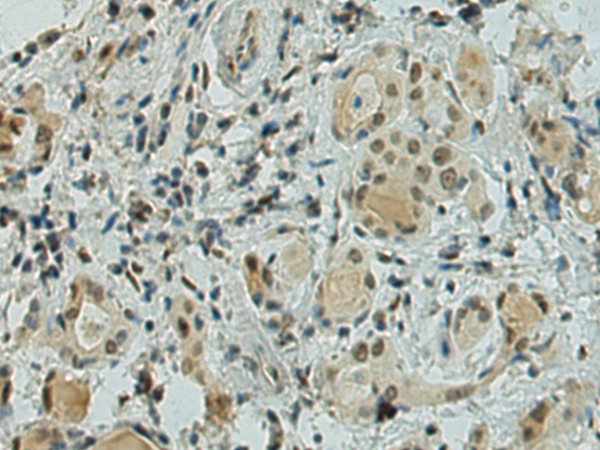
IHC positive control: |
Human thyroid cancer |
|
IHC Recommend dilution: |
100-200 |
購物車
幫助
021-54845833/15800441009
