中文名稱(chēng):兔抗ZFYVE1多克隆抗體
|
Background: |
The FYVE domain mediates the recruitment of proteins involved in membrane trafficking and cell signaling to phosphatidylinositol 3-phosphate-containing membranes. This protein contains two zinc-binding FYVE domains in tandem and is reported to localize to the Golgi apparatus. Alternative splicing results in multiple transcript variants. |
|
Applications: |
ELISA, WB, IHC |
|
Name of antibody: |
ZFYVE1 |
|
Immunogen: |
Fusion protein of human ZFYVE1 |
|
Full name: |
zinc finger FYVE-type containing 1 |
|
Synonyms: |
SR3; DFCP1; TAFF1; ZNFN2A1; PPP1R172 |
|
SwissProt: |
Q9HBF4 |
|
ELISA Recommended dilution: |
5000-10000 |
|
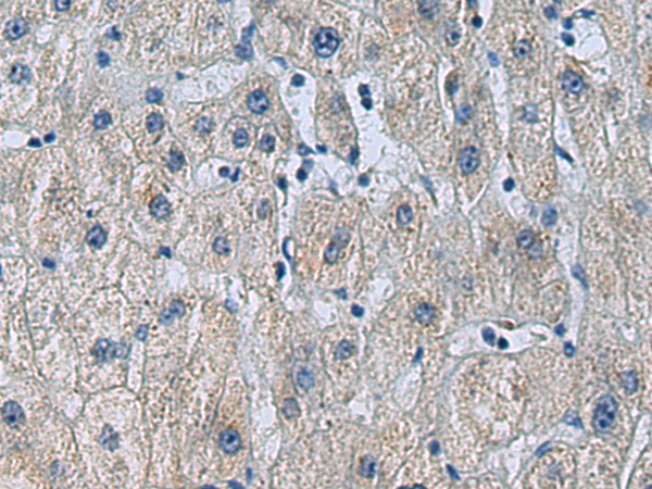
IHC positive control: |
Human liver cancer and Human thyroid cancer |
|
IHC Recommend dilution: |
100-300 |
|
WB Predicted band size: |
87 kDa |
|
WB Positive control: |
Mouse kidney tissue lysate |
|
WB Recommended dilution: |
200-1000 |

購(gòu)物車(chē)
幫助
021-54845833/15800441009
