中文名稱:兔抗ZNF34多克隆抗體
|
Background: |
May be involved in transcriptional regulation. |
|
Applications: |
ELISA, WB, IHC |
|
Name of antibody: |
ZNF34 |
|
Immunogen: |
Fusion protein of human ZNF34 |
|
Full name: |
zinc finger protein 34 |
|
Synonyms: |
KOX32 |
|
SwissProt: |
Q8IZ26 |
|
ELISA Recommended dilution: |
5000-10000 |
|
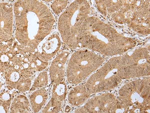
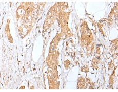
IHC positive control: |
Human gastric cancer and human breast cancer |
|
IHC Recommend dilution: |
30-150 |
|
WB Predicted band size: |
64 kDa |
|
WB Positive control: |
Human liver cancer tissue lysate |
|
WB Recommended dilution: |
200-1000 |


購(gòu)物車
幫助
021-54845833/15800441009
