中文名稱:兔抗ADAMTS13多克隆抗體
|
Background: |
This gene encodes a member of a family of proteins containing several distinct regions, including a metalloproteinase domain, a disintegrin-like domain, and a thrombospondin type 1 (TS) motif. The enzyme encoded by this gene specifically cleaves von Willebrand Factor (vWF). Defects in this gene are associated with thrombotic thrombocytopenic purpura. Alternative splicing results in multiple transcript variants. |
|
Applications: |
ELISA, IHC |
|
Name of antibody: |
ADAMTS13 |
|
Immunogen: |
Synthetic peptide of human ADAMTS13 |
|
Full name: |
ADAM metallopeptidase with thrombospondin type 1 motif, 13 |
|
Synonyms: |
VWFCP; C9orf8; vWF-CP; ADAM-TS13; ADAMTS-13 |
|
SwissProt: |
Q76LX8 |
|
ELISA Recommended dilution: |
2000-5000 |
|
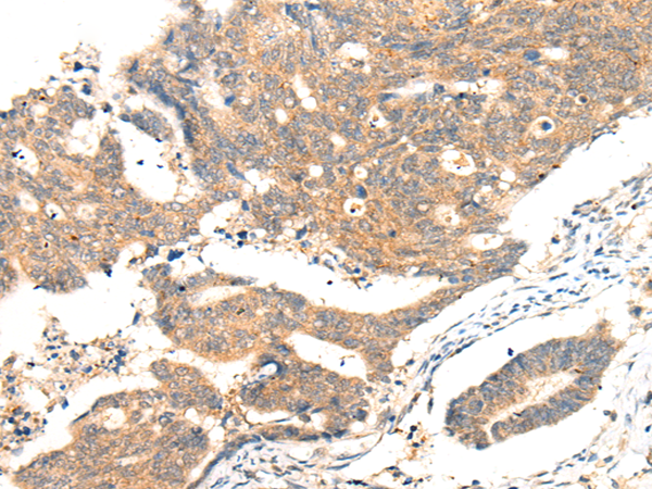
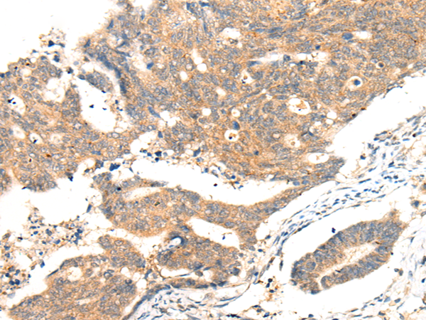
IHC positive control: |
Human cervical cancer and human gastric cancer |
|
IHC Recommend dilution: |
25-100 |


購物車
幫助
021-54845833/15800441009
