中文名稱:小鼠抗HSPA5(C-term)單克隆抗體
|
Background: |
The protein encoded by this gene is a member of the heat shock protein 70 (HSP70) family. It is localized in the lumen of the endoplasmic reticulum (ER), and is involved in the folding and assembly of proteins in the ER. As this protein interacts with many ER proteins, it may play a key role in monitoring protein transport through the cell. |
|
Applications: |
WB, IF, IHC |
|
Name of antibody: |
HSPA5(C-term) |
|
Immunogen: |
Fusion protein of human HSPA5 |
|
Full name: |
heat shock protein family A (Hsp70) member 5 |
|
Synonyms: |
BIP; MIF2; GRP78; HEL-S-89n |
|
SwissProt: |
P11021 |
|
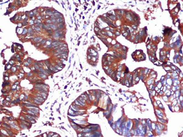
IHC positive control: |
Human colorectal cancer |
|
IHC Recommend dilution: |
50-100 |
|
WB Predicted band size: |
72 kDa |
|
WB Positive control: |
Lncap, C6, MDA-MB-468 and Hela cell lysates |
|
WB Recommended dilution: |
1000-5000 |
|
IF positive control: |
Hela cells |
|
IF Recommend dilution: |
10-50 |


購物車
幫助
021-54845833/15800441009
