中文名稱: 兔抗ACOT12多克隆抗體
|
Background: |
Hydrolyzes acetyl-CoA to acetate and CoA. |
|
Applications: |
IHC, IF |
|
Name of antibody: |
ACOT12 |
|
Immunogen: |
Synthesized peptide derived from internal of human ACOT12. |
|
Full name: |
acyl-CoA thioesterase 12 |
|
Synonyms: |
Cach; THEAL; CACH-1; STARD15 |
|
SwissProt: |
Q8WYK0 |
|
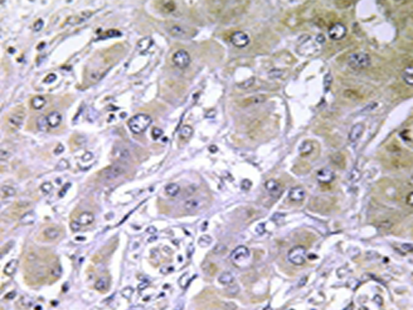
IHC positive control: |
Human liver carcinoma tissue |
|
IHC Recommend dilution: |
50-100 |
|
IF positive control: |
A549 cells |
|
IF Recommend dilution: |
100-500 |


購物車
幫助
021-54845833/15800441009
