中文名稱: 兔抗HSPB1多克隆抗體
抗 原: HSPB1
|
Background: |
The protein encoded by this gene is induced by environmental stress and developmental changes. The encoded protein is involved in stress resistance and actin organization and translocates from the cytoplasm to the nucleus upon stress induction. Defects in this gene are a cause of Charcot-Marie-Tooth disease type 2F (CMT2F) and distal hereditary motor neuropathy (dHMN). |
|
Applications: |
ELISA, WB, IHC |
|
Name of antibody: |
HSPB1 |
|
Immunogen: |
Synthetic peptide of human HSPB1 |
|
Full name: |
heat shock 27kDa protein 1 |
|
Synonyms: |
CMT2F; HMN2B; HSP27; HSP28; Hsp25; SRP27; HS.76067; HEL-S-102 |
|
SwissProt: |
P04792 |
|
ELISA Recommended dilution: |
5000-10000 |
|
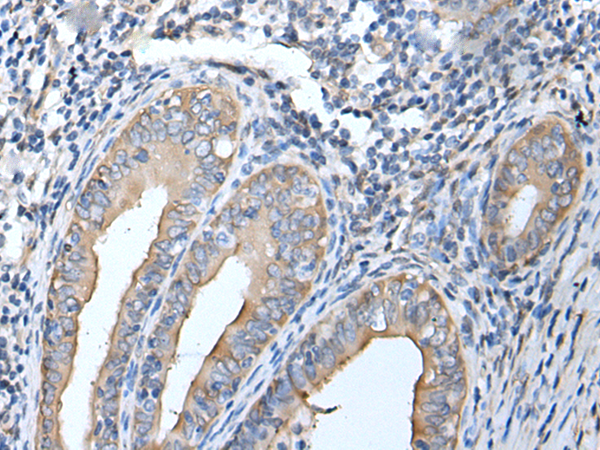
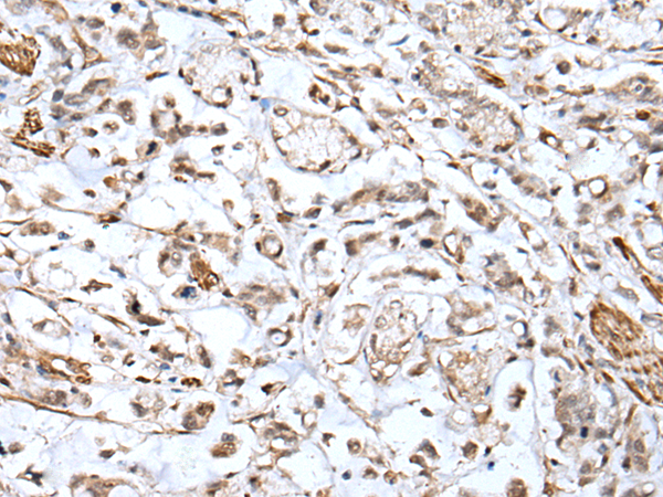
IHC positive control: |
Human cervical cancer and human gastric cancer |
|
IHC Recommend dilution: |
25-100 |
|
WB Predicted band size: |
23 kDa |
|
WB Positive control: |
Hepg2,A431,K562,Hela and 293T cell lysates |
|
WB Recommended dilution: |
500-2000 |





購(gòu)物車(chē)
幫助
021-54845833/15800441009
