宿 主: Rabbit
|
Background: |
This gene is a member of the alpha interferon gene cluster on chromosome 9. The encoded protein is a cytokine produced in response to viral infection. Use of the recombinant form of this protein has been shown to be effective in reducing the symptoms and duration of the common cold. |
|
Applications: |
ELISA, IHC |
|
Name of antibody: |
IFNA2 |
|
Immunogen: |
Synthetic peptide of human IFNA2 |
|
Full name: |
interferon alpha 2 |
|
Synonyms: |
IFNA; INFA2; IFNA2B; IFN-alphaA |
|
SwissProt: |
P01563 |
|
ELISA Recommended dilution: |
5000-10000 |
|
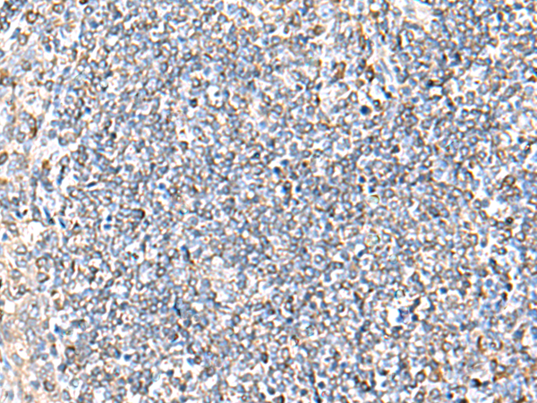
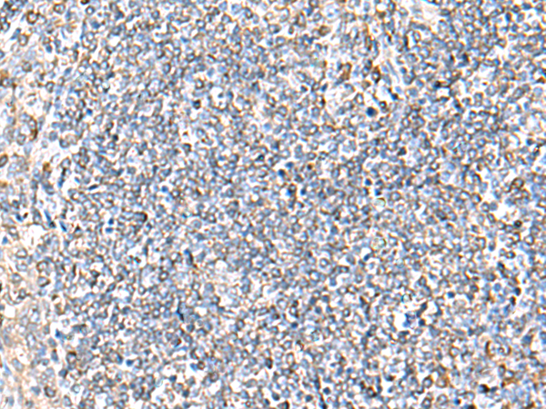
IHC positive control: |
Human tonsil |
|
IHC Recommend dilution: |
30-150 |


購物車
幫助
021-54845833/15800441009
