宿 主: Rabbit
|
Background: |
The protein encoded by this gene is a cytokine receptor that belongs to the interleukin 1 receptor family. This protein is a receptor for interleukin alpha (IL1A), interleukin beta (IL1B), and interleukin 1 receptor, type I(IL1R1/IL1RA). It is an important mediator involved in many cytokine induced immune and inflammatory responses. This gene along with interleukin 1 receptor, type II (IL1R2), interleukin 1 receptor-like 2 (IL1RL2), and interleukin 1 receptor-like 1 (IL1RL1) form a cytokine receptor gene cluster in a region mapped to chromosome 2q12. |
|
Applications: |
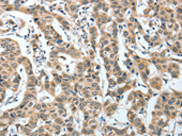
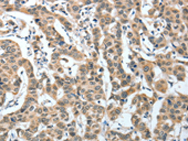
ELISA, IHC |
|
Name of antibody: |
IL1R1 |
|
Immunogen: |
Fusion protein of human IL1R1 |
|
Full name: |
interleukin 1 receptor, type I |
|
Synonyms: |
P80; IL1R; IL1RA; CD121A; D2S1473; IL-1R-alpha |
|
SwissProt: |
P14778 |
|
ELISA Recommended dilution: |
2000-5000 |
|
IHC positive control: |
Human breast cancer and human thyroid cancer |
|
IHC Recommend dilution: |
25-100 |
購物車
幫助
021-54845833/15800441009
