|
Background: |
Acts as an endocytic receptor to direct captured antigens from the extracellular space to a specialized antigen-processing compartment (By similarity). Causes reduced proliferation of B-lymphocytes. |
|
Applications: |
ELISA, IHC |
|
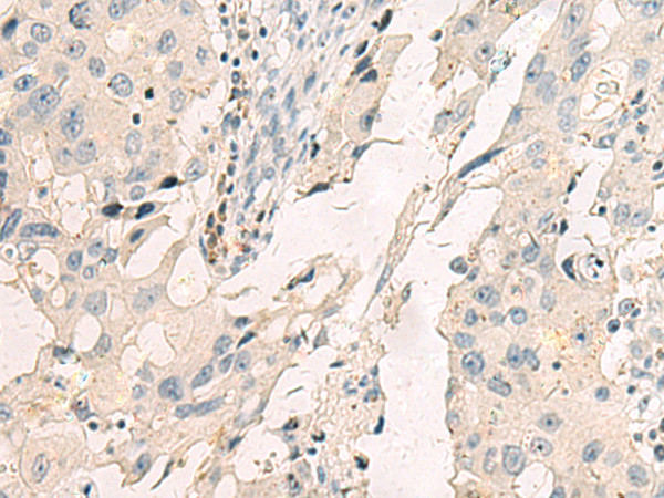
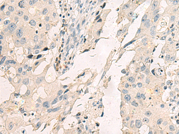
Name of antibody: |
LY75 |
|
Immunogen: |
Synthetic peptide of human LY75 |
|
Full name: |
lymphocyte antigen 75 |
|
Synonyms: |
CD205; LY-75; CLEC13B; DEC-205; GP200-MR6 |
|
SwissProt: |
O60449 |
|
ELISA Recommended dilution: |
5000-10000 |
|
IHC positive control: |
Human breast cancer |
|
IHC Recommend dilution: |
25-50 |

購物車
幫助
021-54845833/15800441009
