宿 主: Mouse
|
Background: |
This gene encodes one of six different actin proteins. Actins are highly conserved proteins that are involved in cell motility, structure, integrity, and intercellular signaling. The encoded protein is a major constituent of the contractile apparatus and one of the two nonmuscle cytoskeletal actins that are ubiquitously expressed. Mutations in this gene cause Baraitser-Winter syndrome 1, which is characterized by intellectual disability with a distinctive facial appearance in human patients. Numerous pseudogenes of this gene have been identified throughout the human genome. |
|
Applications: |
WB |
|
Name of antibody: |
ACTB(HRP-Conjugate) |
|
Immunogen: |
Fusion protein of human ACTB |
|
Full name: |
actin beta |
|
Synonyms: |
BRWS1; PS1TP5BP1 |
|
SwissProt: |
P60709 |
|
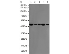
WB Predicted band size: |
42 kDa |
|
WB Positive control: |
COS7, CHO-K1, C6, 3T3 and Hela cell lysates |
|
WB Recommended dilution: |
1000-5000 |
購(gòu)物車
幫助
021-54845833/15800441009
