中文名稱:兔抗AGBL4多克隆抗體
|
Background: |
Metallocarboxypeptidase that mediates deglutamylation of target proteins. Catalyzes the deglutamylation of polyglutamate side chains generated by post-translational polyglutamylation in proteins such as tubulins. Also removes gene-encoded polyglutamates from the carboxy-terminus of target proteins such as MYLK. Acts as a long-chain deglutamylase and specifically shortens long polyglutamate chains, while it is not able to remove the branching point glutamate, a process catalyzed by AGBL5/CCP5 By similarity. |
|
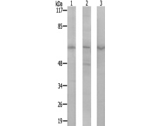
Applications: |
WB |
|
Name of antibody: |
AGBL4 |
|
Immunogen: |
Synthesized peptide derived from internal of human CBCP6. |
|
Full name: |
ATP/GTP binding protein-like 4 |
|
Synonyms: |
CCP6 |
|
SwissProt: |
Q5VU57 |
|
WB Predicted band size: |
58 kDa |
|
WB Positive control: |
Hela cells, Jurkat cells and A549 cells lysates |
|
WB Recommended dilution: |
500-3000 |
購物車
幫助
021-54845833/15800441009
