中文名稱:兔抗CHST11多克隆抗體
|
Background: |
The protein encoded by this gene belongs to the sulfotransferase 2 family. It is localized to the golgi membrane, and catalyzes the transfer of sulfate to position 4 of the N-acetylgalactosamine (GalNAc) residue of chondroitin. Chondroitin sulfate constitutes the predominant proteoglycan present in cartilage, and is distributed on the surfaces of many cells and extracellular matrices. A chromosomal translocation involving this gene and IgH, t(12;14)(q23;q32), has been reported in a patient with B-cell chronic lymphocytic leukemia. Alternatively spliced transcript variants encoding different isoforms have been found for this gene. |
|
Applications: |
ELISA, WB, IHC |
|
Name of antibody: |
CHST11 |
|
Immunogen: |
Fusion protein of human CHST11 |
|
Full name: |
carbohydrate sulfotransferase 11 |
|
Synonyms: |
C4ST; C4ST1; C4ST-1; HSA269537 |
|
SwissProt: |
Q9NPF2 |
|
ELISA Recommended dilution: |
5000-10000 |
|
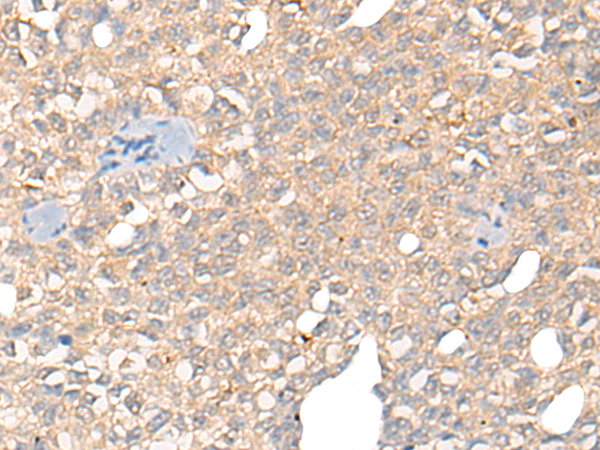
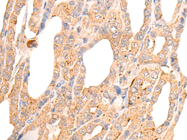
IHC positive control: |
Human thyroid cancer and Human ovarian cancer |
|
IHC Recommend dilution: |
25-100 |
|
WB Predicted band size: |
42 kDa |
|
WB Positive control: |
K562 cell lysate |
|
WB Recommended dilution: |
200-1000 |


購物車
幫助
021-54845833/15800441009
