中文名稱:兔抗CHST13多克隆抗體
|
Background: |
The protein encoded by this gene belongs to the sulfotransferase 2 family. It is localized to the golgi membrane, and catalyzes the transfer of sulfate to the C4 hydroxyl of beta-1,4-linked N-acetylgalactosamine (GalNAc) flanked by glucuronic acid residue in chondroitin. Chondroitin sulfate constitutes the predominant proteoglycan present in cartilage and is distributed on the surfaces of many cells and extracellular matrices. |
|
Applications: |
WB, IHC |
|
Name of antibody: |
CHST13 |
|
Immunogen: |
Synthesized peptide derived from internal of human CHST13. |
|
Full name: |
carbohydrate (chondroitin 4) sulfotransferase 13 |
|
Synonyms: |
C4ST3 |
|
SwissProt: |
Q8NET6 |
|
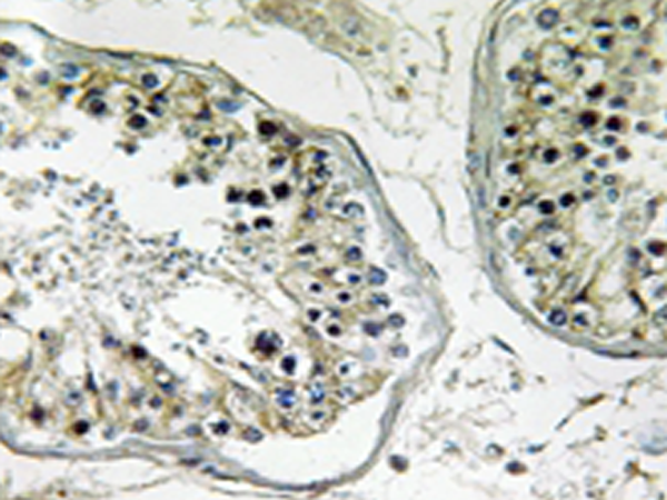
IHC positive control: |
Human testis tissue |
|
IHC Recommend dilution: |
50-100 |
|
WB Predicted band size: |
39 kDa |
|
WB Positive control: |
K562 cells lysate |
|
WB Recommended dilution: |
500-3000 |

購物車
幫助
021-54845833/15800441009
