|
Background: |
This gene encodes a member of the alpha/beta hydrolase superfamily. The encoded protein functions as a homodimer, exhibiting both depalmitoylating as well as lysophospholipase activity, and may be involved in Ras localization and signaling. Alternate splicing results in multiple transcript variants. Pseudogenes of this gene have been defined on chromosomes 4, 6, and 7. |
|
Applications: |
ELISA, WB, IHC |
|
Name of antibody: |
LYPLA1 |
|
Immunogen: |
Fusion protein of human LYPLA1 |
|
Full name: |
lysophospholipase 1 |
|
Synonyms: |
APT1; LPL1; APT-1; LPL-I; hAPT1 |
|
SwissProt: |
O75608 |
|
ELISA Recommended dilution: |
5000-10000 |
|
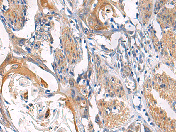
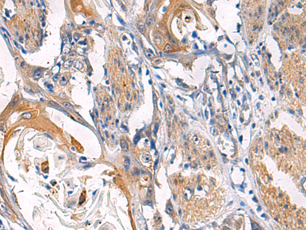
IHC positive control: |
Human esophagus cancer |
|
IHC Recommend dilution: |
50-200 |
|
WB Predicted band size: |
25 kDa |
|
WB Positive control: |
Mouse small intestines tissue lysate |
|
WB Recommended dilution: |
500-2000 |


購(gòu)物車
幫助
021-54845833/15800441009
