中文名稱: 兔抗TTLL10多克隆抗體
|
Background: |
Inactive polyglycylase. |
|
Applications: |
ELISA, WB, IHC |
|
Name of antibody: |
TTLL10 |
|
Immunogen: |
Fusion protein of human TTLL10 |
|
Full name: |
tubulin tyrosine ligase like 10 |
|
Synonyms: |
TTLL5 |
|
SwissProt: |
Q6ZVT0 |
|
ELISA Recommended dilution: |
5000-10000 |
|
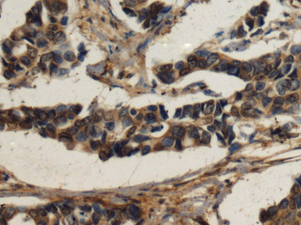
IHC positive control: |
Human breast cancer |
|
IHC Recommend dilution: |
150-300 |
|
WB Predicted band size: |
75 kDa |
|
WB Positive control: |
HepG2 cell lysate |
|
WB Recommended dilution: |
500-2000 |


購物車
幫助
021-54845833/15800441009
