中文名稱:小鼠抗EEF2單克隆抗體
|
Background: |
This gene encodes a member of the GTP-binding translation elongation factor family. This protein is an essential factor for protein synthesis. It promotes the GTP-dependent translocation of the nascent protein chain from the A-site to the P-site of the ribosome. This protein is completely inactivated by EF-2 kinase phosporylation. |
|
Applications: |
WB, IF |
|
Name of antibody: |
EEF2 |
|
Immunogen: |
Fusion protein of human EEF2 |
|
Full name: |
eukaryotic translation elongation factor 2 |
|
Synonyms: |
EF2; EF-2; EEF-2; SCA26 |
|
SwissProt: |
P13639 |
|
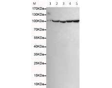
WB Predicted band size: |
95 kDa |
|
WB Positive control: |
HL-60, Jurkat, SHSY-5Y, U20S and Hela cell lysates |
|
WB Recommended dilution: |
1000-5000 |
|
IF positive control: |
Hela cells |
|
IF Recommend dilution: |
100-200 |
購物車
幫助
021-54845833/15800441009
