中文名稱: 兔抗ADA2多克隆抗體
|
Background: |
This gene encodes a member of a subfamily of the adenosine deaminase protein family. The encoded protein is one of two adenosine deaminases found in humans, which regulate levels of the signaling molecule, adenosine. The encoded protein is secreted from monocytes undergoing differentiation and may regulate cell proliferation and differentiation. This gene may be responsible for some of the phenotypic features associated with cat eye syndrome. Alternative splicing results in multiple transcript variants. [provided by RefSeq, Aug 2013] |
|
Applications: |
ELISA, IHC |
|
Name of antibody: |
ADA2 |
|
Immunogen: |
Fusion protein of human ADA2 |
|
Full name: |
adenosine deaminase 2 |
|
Synonyms: |
PAN; ADGF; CECR1; IDGFL; SNEDS; VAIHS |
|
SwissProt: |
Q9NZK5 |
|
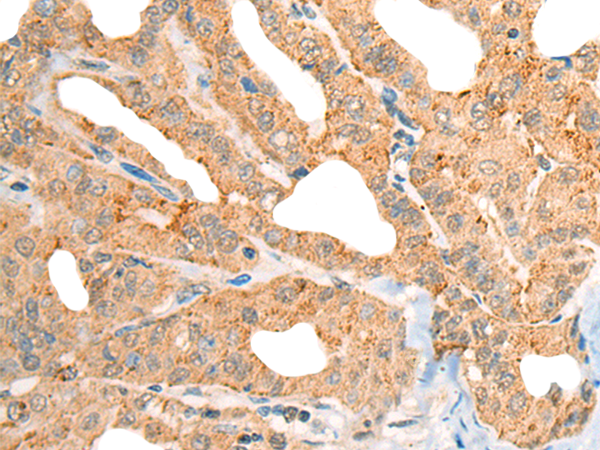
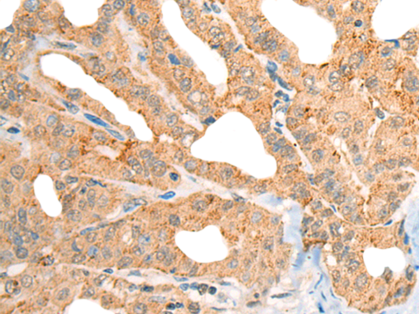
IHC positive control: |
Human thyroid cancer |
|
IHC Recommend dilution: |
30-150 |
購(gòu)物車
幫助
021-54845833/15800441009
