中文名稱: 兔抗GHRH多克隆抗體
|
Background: |
This gene encodes a member of the glucagon family of proteins. The encoded preproprotein is produced in the hypothalamus and cleaved to generate the mature factor, known as somatoliberin, which acts to stimulate growth hormone release from the pituitary gland. Variant receptors for somatoliberin have been found in several types of tumors, and antagonists of these receptors can inhibit the growth of the tumors. Defects in this gene are a cause of dwarfism, while hypersecretion of the encoded protein is a cause of gigantism. Alternative splicing results in multiple transcript variants, at least one of which encodes a preproprotein that is proteolytically processed. |
|
Applications: |
ELISA, IHC |
|
Name of antibody: |
GHRH |
|
Immunogen: |
Synthetic peptide corresponding to a region derived from 59-72 amino acids of human GHRH |
|
Full name: |
growth hormone releasing hormone |
|
Synonyms: |
GRF; INN; GHRF |
|
SwissProt: |
P01286 |
|
ELISA Recommended dilution: |
1000-2000 |
|
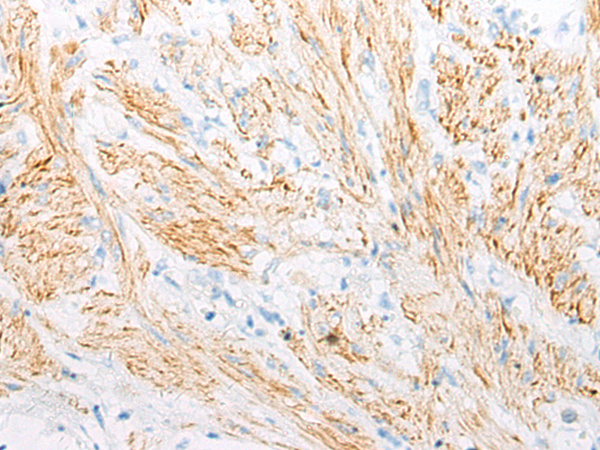
IHC Positive control: |
Human gastric cancer; |
|
IHC Recommended dilution: |
20-100 |

購(gòu)物車
幫助
021-54845833/15800441009
