中文名稱:兔抗BAX多克隆抗體
|
Background: |
The protein encoded by this gene belongs to the BCL2 protein family. BCL2 family members form hetero- or homodimers and act as anti- or pro-apoptotic regulators that are involved in a wide variety of cellular activities. This protein forms a heterodimer with BCL2, and functions as an apoptotic activator. This protein is reported to interact with, and increase the opening of, the mitochondrial voltage-dependent anion channel (VDAC), which leads to the loss in membrane potential and the release of cytochrome c. The expression of this gene is regulated by the tumor suppressor P53 and has been shown to be involved in P53-mediated apoptosis. Multiple alternatively spliced transcript variants, which encode different isoforms, have been reported for this gene. |
|
Applications: |
ELISA, WB, IHC |
|
Name of antibody: |
BAX |
|
Immunogen: |
Fusion protein of human BAX |
|
Full name: |
BCL2-associated X protein |
|
Synonyms: |
BCL2L4 |
|
SwissProt: |
Q07812 |
|
ELISA Recommended dilution: |
2000-5000 |
|
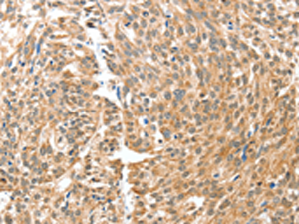
IHC positive control: |
Human esophagus cancer and Human lung cancer |
|
IHC Recommend dilution: |
25-100 |
|
WB Predicted band size: |
21 kDa |
|
WB Positive control: |
Human brain malignant glioma tissue, MCF7, Raji and Lovo cells |
|
WB Recommended dilution: |
500-2000 |


購物車
幫助
021-54845833/15800441009
