|
Background: |
This gene encodes a subunit of the conserved oligomeric Golgi complex that is required for maintaining normal structure and activity of the Golgi complex. The encoded protein specifically interacts with the USO1 vesicle docking protein and may be necessary for normal Golgi ribbon formation and trafficking of Golgi enzymes. Mutations of this gene are associated with abnormal glycosylation within the Golgi apparatus. Alternative splicing results in multiple transcript variants. |
|
Applications: |
ELISA, IHC |
|
Name of antibody: |
COG2 |
|
Immunogen: |
Fusion protein corresponding to a region derived from 539-738 amino acids of human COG2 |
|
Full name: |
component of oligomeric golgi complex 2 |
|
Synonyms: |
LDLC |
|
SwissProt: |
Q14746 |
|
ELISA Recommended dilution: |
5000-10000 |
|
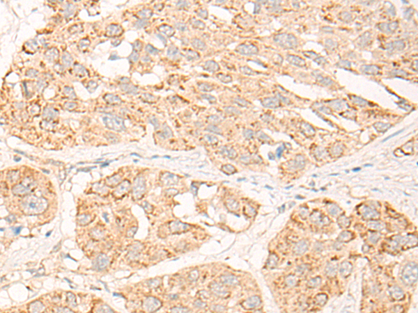
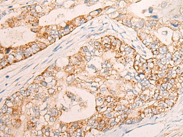
IHC Positive control: |
Human esophagus cancer;Human gastric cancer |
|
IHC Recommended dilution: |
25-100 |

購物車
幫助
021-54845833/15800441009
