|
Background: |
This gene belongs to a group of vacuolar protein sorting (VPS) genes. The encoded protein is a component of a large multimeric complex, termed the retromer complex, involved in retrograde transport of proteins from endosomes to the trans-Golgi network. The close structural similarity between the yeast and human proteins that make up this complex suggests a similarity in function. Expression studies in yeast and mammalian cells indicate that this protein interacts directly with VPS35, which serves as the core of the retromer complex. Alternative splicing results in multiple transcript variants encoding different isoforms. |
|
Applications: |
ELISA, WB, IHC |
|
Name of antibody: |
VPS26A |
|
Immunogen: |
Synthetic peptide of human VPS26A |
|
Full name: |
VPS26, retromer complex component A |
|
Synonyms: |
HB58; PEP8A; VPS26; Hbeta58 |
|
SwissProt: |
O75436 |
|
ELISA Recommended dilution: |
2000-5000 |
|
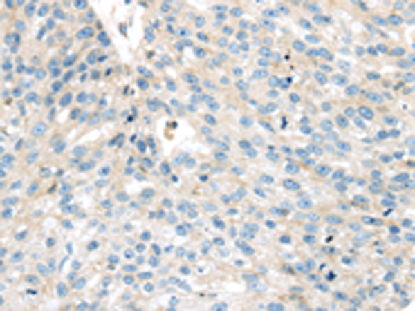
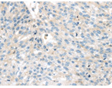
IHC positive control: |
Human breast cancer and Human prostate cancer |
|
IHC Recommend dilution: |
25-100 |
|
WB Predicted band size: |
38 kDa |
|
WB Positive control: |
Human placenta tissue, PC3 cells and Human fetal liver tissue, HepG2, Hela, A431 and 293T cells |
|
WB Recommended dilution: |
500-2000 |

購物車
幫助
021-54845833/15800441009
