中文名稱:兔抗COG5多克隆抗體
|
Background: |
The protein encoded by this gene is one of eight proteins (Cog1-8) which form a Golgi-localized complex (COG) required for normal Golgi morphology and function. The encoded protein is organized with conserved oligomeric Golgi complex components 6, 7 and 8 into a sub-complex referred to as lobe B. Alternative splicing results in multiple transcript variants. Mutations in this gene result in congenital disorder of glycosylation type 2I. |
|
Applications: |
ELISA, IHC |
|
Name of antibody: |
COG5 |
|
Immunogen: |
Fusion protein of human COG5 |
|
Full name: |
component of oligomeric golgi complex 5 |
|
Synonyms: |
CDG2I; GTC90; GOLTC1 |
|
SwissProt: |
Q9UP83 |
|
ELISA Recommended dilution: |
5000-10000 |
|
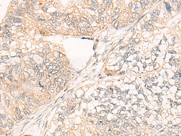
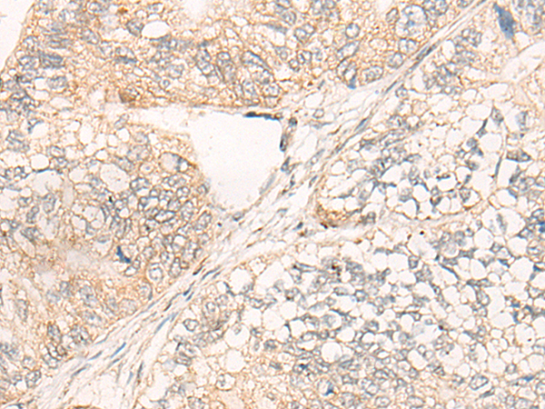
IHC positive control: |
Human gastric cancer |
|
IHC Recommend dilution: |
20-100 |
購(gòu)物車
幫助
021-54845833/15800441009
