中文名稱: 兔抗COPZ1多克隆抗體
|
Background: |
This gene encodes a subunit of the cytoplasmic coatamer protein complex, which is involved in autophagy and intracellular protein trafficking. The coatomer protein complex is comprised of seven subunits and functions as the coat protein of coat protein complex (COP)I-vesicles. Alternative splicing results in multiple transcript variants. |
|
Applications: |
ELISA, IHC |
|
Name of antibody: |
COPZ1 |
|
Immunogen: |
Full length fusion protein |
|
Full name: |
coatomer protein complex subunit zeta 1 |
|
Synonyms: |
COPZ; CGI-120; HSPC181; zeta-COP; zeta1-COP |
|
SwissProt: |
P61923 |
|
ELISA Recommended dilution: |
5000-10000 |
|
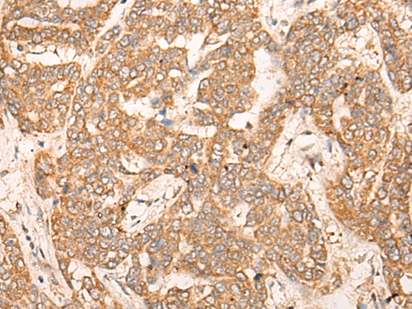
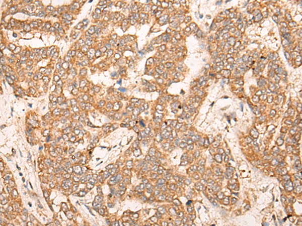
IHC positive control: |
Human liver cancer |
|
IHC Recommend dilution: |
25-100 |
購物車
幫助
021-54845833/15800441009
