中文名稱: 兔抗CUX1多克隆抗體
|
Background: |
The protein encoded by this gene is a member of the homeodomain family of DNA binding proteins. It may regulate gene expression, morphogenesis, and differentiation and it may also play a role in the cell cycle progession. Several alternatively spliced transcript variants encoding different isoforms have been identified. |
|
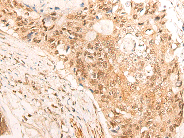
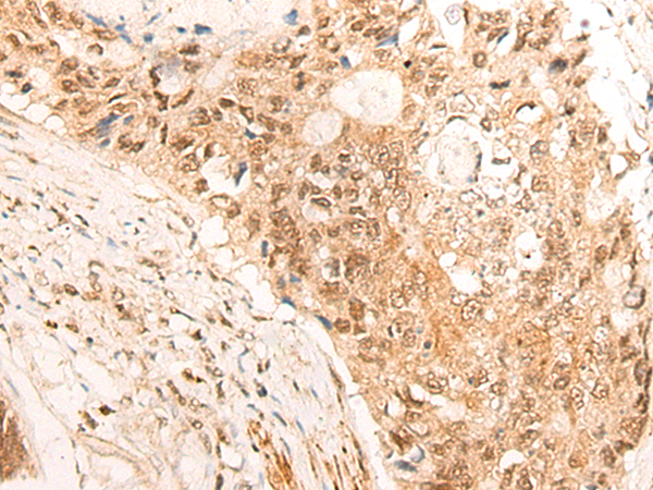
Applications: |
ELISA, IHC |
|
Name of antibody: |
CUX1 |
|
Immunogen: |
Synthetic peptide of human CUX1 |
|
Full name: |
cut like homeobox 1 |
|
Synonyms: |
CDP; CUX; p75; CASP; CDP1; COY1; Clox; p100; p110; p200; CUTL1; GOLIM6; CDP/Cut; Cux/CDP; Nbla10317 |
|
SwissProt: |
P39880 |
|
ELISA Recommended dilution: |
5000-10000 |
|
IHC positive control: |
Human tonsil and Human colorectal cancer |
|
IHC Recommend dilution: |
25-100 |

購物車
幫助
021-54845833/15800441009
