|
Background: |
This gene encodes a protein with a trypsin-like cysteine/serine peptidase domain in the C-terminus. Mutations in this gene are associated with an autosomal dominant form of hereditary fibrosing poikiloderma (HFP). Affected individuals display mottled pigmentation, telangiectasia, epidermal atrophy, tendon contractures, and progressive pulmonary fibrosis. Alternative splicing results in multiple transcript variants encoding distinct isoforms. A paralog of this gene which also has a trypsin‐like peptidase domain, FAM111A, is located only 16 kb from this gene on human chromosome 11q12.1. |
|
Applications: |
ELISA, IHC |
|
Name of antibody: |
FAM111B |
|
Immunogen: |
Synthetic peptide of human FAM111B |
|
Full name: |
family with sequence similarity 111 member B |
|
Synonyms: |
CANP; POIKTMP |
|
SwissProt: |
Q6SJ93 |
|
ELISA Recommended dilution: |
5000-10000 |
|
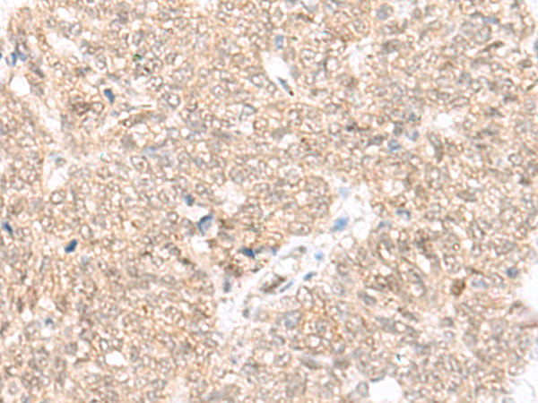
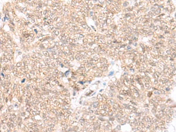
IHC positive control: |
Human ovarian cancer |
|
IHC Recommend dilution: |
30-150 |

購物車
幫助
021-54845833/15800441009
